3,9K
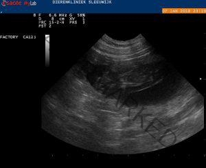
Vanmorgen, 8 januari, was een heel spannende ochtend. in alle vroegte op weg naar Dierenkliniek Sleeuwijk voor een echo by Bryn of ze drachtig is. We hadden al zo onze vermoedens maar de echo geeft pas echt duidelijkheid.
Bij het zien van de echo op het scherm riepen we gelijk “hoera” want Bryn is drachtig!
De dierenarts nam de tijd om een uitgebreide echo te doen en vertelde dat we een groot nest kunnen verwachten! Wat zijn we blij met deze dekking uit de combinatie Bryn x Floris sr.
Als alles spoedig verloopt zullen we rond 08 februari 2018 beschuit met muisjes eten.
